
Dual Cure • Fluoride Releasing • Radiopaque
Contains No Bisphenol A, No BIS-GMA, No BPA Derivatives
For cementation of PFM, gold, CEREC®* and reinforced ceramics for crown and bridge; Inlays, gold, metal, titanium and fiber posts
Embrace Resin Cement is the first self-adhesive resin cement that bonds to the slightly moist tooth. Embrace is a moisture-friendly, ionic resin, not a glass ionomer, and is fully compatible with the moist oral environment. Embrace forms chemical bonds to dentin and enamel, precious and non-precious metals, ceramics, composites, and fiber posts. Bonding agents are not required; however, they can be used if desired. It is not necessary to etch dentin, but etching uncut enamel surfaces is indicated.
Embrace Resin Cement is non-irritating, self-adhesive, contains no solvents, requires no etching or drying of dentin, and provides an exceptional seal against microleakage. These features eliminate the major causes of sensitivity.
Self-Adhesive – Moisture Tolerant
- Bonds in a slightly moist field
- Self-adhesive properties
- Self-etching to dentin
- Eliminates microleakage
*Pameijer CH. Retention of zirconium crowns with the use of Embrace WetBond Resin Cement. November 9, 2012
Clinical Documents
Clinical Procedure
Post Cementation and Core Build Up

Fig. 1: The tooth is prepared to receive a post.

Fig. 2: The canal and tooth surfaces are etched for 15 seconds.
This step is optional. Embrace WetBond Resin Cement is self-etching to dentin.

Fig. 3: Embrace Resin Cement is dispensed directly into the canal using
the mixing tip on the double-barrel syringe.

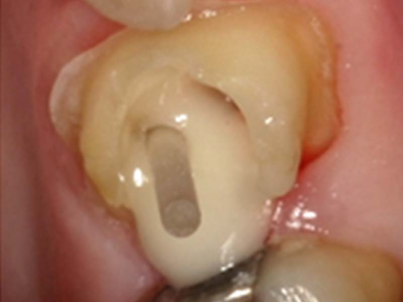
Fig. 4: The post is inserted using an up and down motion to ensure complete coverage.

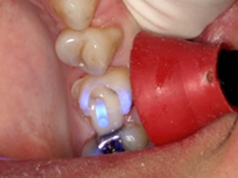
Fig. 5: Embrace Resin Cement is light cured for 20 seconds from all aspects.
Embrace is used tor the core build up and is light cured in increments.
The cement is also self-curing

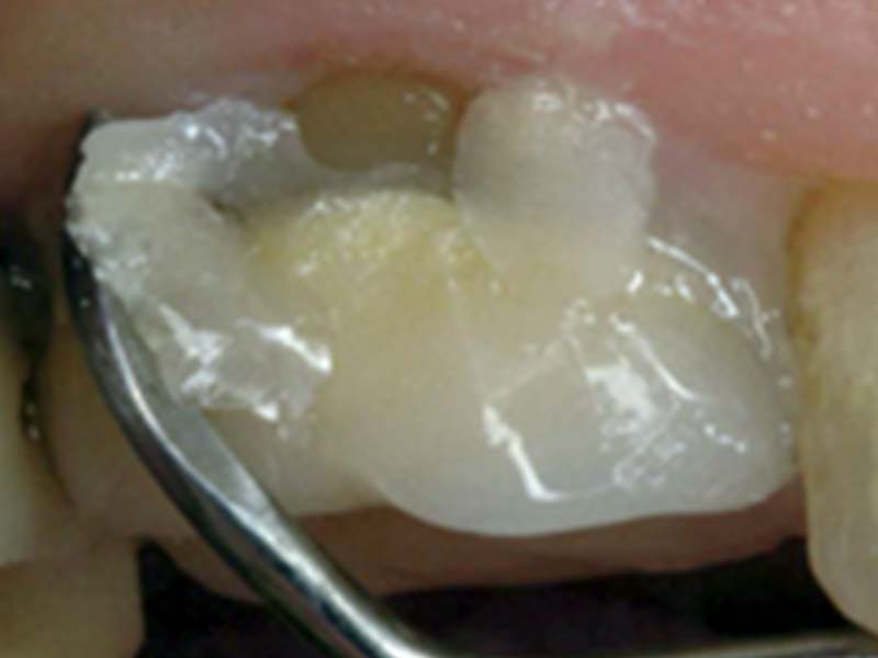
Fig. 6: The core is carved to shape to receive a crown. Embrace WetBond
Resin Cement is also used to cement the crown ensuring a homogenous monoblock.
Crown Cementation

Fig. 1: The teeth are prepared to receive crowns. It is not necessary to etch dentin, and
bonding agents are not required; however, etching and bonding are not contra-indicated.

Fig. 2: Embrace WetBond Resin Cement is dispensed into the crowns using a mixing
tip on the double-barrel syringe.

Fig. 3: After seating crowns, tack light cure for 1-2 seconds and remove
excess cement with a suitable instrument.

Fig. 4: Floss to make sure contacts are open before complete curing.
Crown Cementation on Composite Core Build Up

Fig. 1: The post and core build up has been prepared and dried and is ready for crown cementation.

Fig. 2: Embrace Resin Cement is dis- pensed directly into the crown through the automix tip.

Fig. 3: After seating the crown, apply positive pressure for 2½ minutes.

Fig. 4: Flash cure excess cement at the margins for 1-2 seconds to facilitate removal.

Fig. 5: Remove excess cement at the margin with a suitable instrument.

Fig. 6: The final result.
Photography courtesy of Dr. George Freedman
Order Now
Embrace™ WetBond™ Resin Cement
Additional information
| Style | Low Viscosity Refill, Medium Viscosity Refill |
|---|---|
| Size | 3.5gm, 7gm |
| Applicator Tip Qty. | 10, 20 |
Compatible with:
-
- Applicator Tips and Dispensers
Automix Narrow Intraoral Tips (IOR)
SKU: AD*R- View Product This product has multiple variants. The options may be chosen on the product page
-
- Applicator Tips and Dispensers
Automix Straight Tips
SKU: AS*- View Product This product has multiple variants. The options may be chosen on the product page
-
- Applicator Tips and Dispensers
Automix Light-Safe Black Mixer Tips
SKU: A*- View Product This product has multiple variants. The options may be chosen on the product page
-
- Applicator Tips and Dispensers
Automix Intraoral Tips (IOT)
SKU: AD*T- View Product This product has multiple variants. The options may be chosen on the product page














