By Dr. Marty Zase
Embrace Esthetic Opaquers (Pulpdent) are the best opaquers I have ever used. They are a near perfect match to Vita shades, resulting in very consistent and predictable clinical outcomes. The Embrace resin technology makes the opaquers much less likely to dissolve or come off the substructure when they are treated with bonding agents. A very thin layer is all that is required and light cures in 20 seconds.

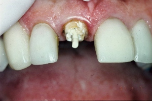
In this case, we are about to cover an old, long metal post that I did not dare to remove (Figure 1). The goal was to complete a composite core build-up over the post so a porcelain crown could be placed as a final restoration without any sign of the metal post showing through.

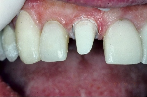
I find it easiest to use an explorer to place the opaquer on the substructure I want to cover. In my experience, the pink opaquer covers metal exceptionally well. Another layer can be added in a shade if desired. Total etch and bond can then be used to adhere a core material to the opaqued post and the tooth (Figure 2). The result (Figure 3) completely hides the metal post so that a ceramic crown can be constructed with natural translucency, rather than using a very opaque crown which would look less natural.


About Dr. Marty Zase
Dr. Marty Zase received a B.A. from Boston University and his D.M.D. from Tufts University School of Dental Medicine. A former clinical instructor in restorative dentistry at Tufts, he is guest lecturer in cosmetic dentistry. He has published over sixty dental articles, has served on the editorial or review boards of The Journal of Cosmetic Dentistry, Contemporary Esthetics, and General Dentistry magazines, and lectures internationally on cosmetic dentistry.
He is one of only about a dozen dentists in the world to have both a Mastership from the Academy of General Dentistry and an Accreditation in Cosmetics from the American Academy of Cosmetic Dentistry. He practices in the Colchester Dental Group and is the only dentist in the greater Hartford area Accredited by the AACD.
Dr. Zase has developed numerous techniques and instruments that are currently used in modern cosmetic dentistry. He has been strongly recognized for his contributions to dentistry and dental education. Dr. Zase has been selected by Dentistry Today magazine as one of the Top Clinicians in Dental Continuing Education for the last eleven years in a row.

